厚生労働省の発表によると、高齢者の4人に1人が認知症もしくは認知症の予備軍といわれています。また、認知症の中には適切な診断および治療により、進行抑制や、治すことも可能な病気もあります。さらに適切な対応により症状が軽減する場合もあります。以上のような理由で、認知症では早期発見と早期診断が重要となります。当クリニックでは、専門スタッフによる早期の治療介入を実施しています。
認知症の症状は大きく2つに分類することができます。認知症の代表的な症状でもある記憶障害(もの忘れ)を中心とした認知機能障害(中核症状)と、妄想や興奮などの精神症状や行動障害を呈する周辺症状(BPSD)といわれるものです。前者は治療が難しく、徐々に進行していく症状ですが、周辺症状は環境や対応を工夫したり、治療することで治ったり軽くなったりする症状です。

財布が盗られたなど
事実でないことを信じ込んでいる。

自宅に居るはずのない
人や動物が見える。

突然カッとなり、
攻撃的な態度をとる。

悲しそうで、元気がなくなり
閉じこもりがちになる。

1人になるのを嫌がり、
予定を何度も確認する。

異常な上機嫌が続き、
一人で面白がっている。

周囲への関心がなくなり、
ボーっとする時間が増えた。

些細なことで怒るなど、
気が短くなった。

目的もなく歩き回り、
同じ行動を繰り返す。

衝動的な行動で、
周囲を困らせることが増えた。

寝つきが悪く、
夜中に家族を起こす。

食欲低下や亢進が激しく、
体重が明らかに変わった。
認知症を引き起こす原因疾患には、アルツハイマー病を代表に100以上の疾患があるといわれており、その中には治療可能な認知症(治る認知症)も含まれています。当クリニックでは最新のCT装置で最高水準の精密検査が可能となります。

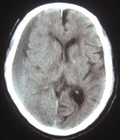
軽い頭部打撲や転倒をきっかけに脳内に出血がおこり、血種となることにより脳機能に障害を及ぼす病気です。急速な症状の悪化がみられる場合があります。

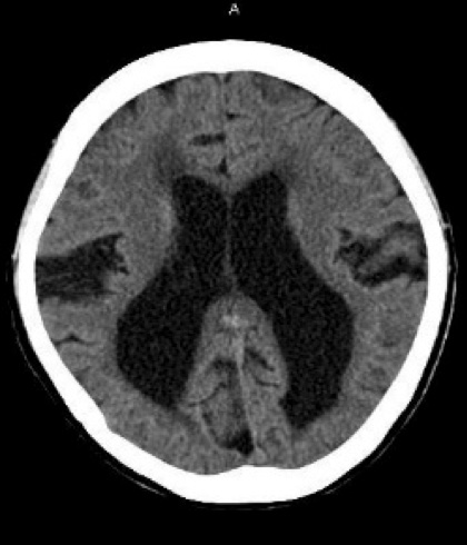
脳脊髄液が異常に溜まり、脳が圧迫されることにより起こる病気です。記憶障害、歩行障害(歩行が遅くなる)、尿失禁が症状として現れます。
当クリニックでは、専門医による初回受診において、早期診断・早期治療を目指します。